MemoryTech Aligner®

ALIGNERS

Revolutionizing Orthodontics with Shape Memory Technology.

Discover Hype 3D MemoryTech Aligner®—the future of orthodontics with 3D-printed aligners

Trusted by:

Mondzorg-westsingel-logo-white
Dr.-Adolfo-Collado
Dr.-Beatriz-Davila
Dr.-Dave-Chen
Inveasyble

Our 3D-printed aligner that offers faster treatment outcomes, superior comfort, and
enhanced precision compared to leading competitors

Our 3D-printed aligner that offers faster treatment outcomes, superior comfort, and enhanced precision compared to leading competitors.

The advanced heat activation technology of Hype 3D allows for customized control over strength, elasticity, and design tailored to each individual patient.

  • Allows for constant forces and force control
  • Increased patient compliance due to comfort and ease of use
  • Fewer stages required
  • Shorter treatment plans

Great for all ages: kids, teens, and adults!

Hype 3D has a specific protocol just for you!

our technology

Hype 3D MemoryTech Aligner®

01/

Dentist-Led Case Planning

  • Hype’s treatment plans are designed by licensed experienced dentists.
  • Develop a one-on-one relationship and collaborate directly with the dentist designing your treatment plan.
  • Faster turnaround times, fewer case revisions, and more predictable outcomes.

02/

3D Printing Technology

  • Perfect fit
  • No shape limitations
  • Optimized form and thickness

03/

MemoryTech Aligners®State of the Art resin technology

Gallery

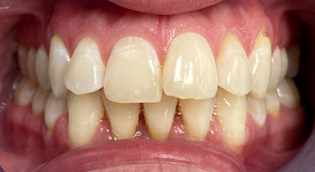
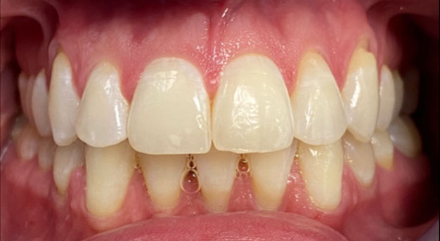
Before and After

BRANDON1 BRANDON2
erick-1 erick-2

Next-Level Technology

The Future of Orthodontics: Shape Memory Aligners

Transparent Rectanble

Our 3-Step Process

How Hype 3D Can Benefit You

01/     Ask your dentist about MemoryTech Aligners® and how they can accelerate your
journey to a better smile.

teeth

02/  Achieve your new smile in a matter of months.

jaw icon

03/    Rediscover your smile and enjoy a boost of self-confidence.

gum icon
teeth

Comparison with Other Aligners

Hype 3D vs. Traditional Aligners

Testimonials

Leading Experts on Hype Aligners